CASE
症例CASE
症例
クワッドザイゴマを用いた上顎インプラント治療(全身麻酔あり) 「ザイゴマインプラント治療」を行われた患者さまのビフォーアフターをご紹介します。 ※ご紹介している症例は、あくまでも患者様固有の症例ですので、実際には患者様に […]
上顎左上シングルザイゴマ、5本インプラント埋入 「ザイゴマインプラント治療」を行われた患者さまのビフォーアフターをご紹介します。 ※ご紹介している症例は、あくまでも患者様固有の症例ですので、実際には患者様によって治療期間 […]
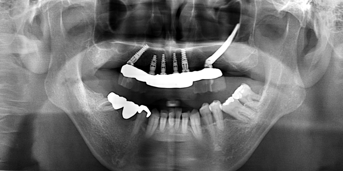
下顎オールオンフォー、上顎ザイゴマインプラント 「ザイゴマインプラント治療」を行われた患者さまのビフォーアフターをご紹介します。 ※ご紹介している症例は、あくまでも患者様固有の症例ですので、実際には患者様によって治療期間 […]
ザイゴマインプラント治療 「ザイゴマインプラント治療」を行われた患者さまのビフォーアフターをご紹介します。 ※ご紹介している症例は、あくまでも患者様固有の症例ですので、実際には患者様によって治療期間や、治療法など個人差が […]