TOP
ご予約はこちら ご予約はこちら LINE問診票 LINE問診票 アクセス・診療時間 アクセス・診療時間
予約可能日を確認
直近の空き枠
24時間予約受付
ご予約はこちら
待ち時間を少なく
LINE問診票
医院の情報はこちら
アクセス診療時間

SAMPLE

症例
トップ > 症例 > インプラント症例1(ザイゴマ)
症例

インプラント症例1(ザイゴマ)

ザイゴマインプラント治療

「ザイゴマインプラント治療」を行われた患者さまのビフォーアフターをご紹介します。
※ご紹介している症例は、あくまでも患者様固有の症例ですので、実際には患者様によって治療期間や、治療法など個人差がございます。

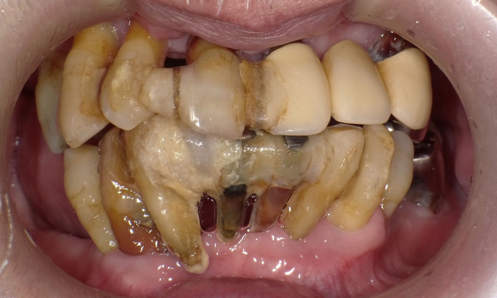
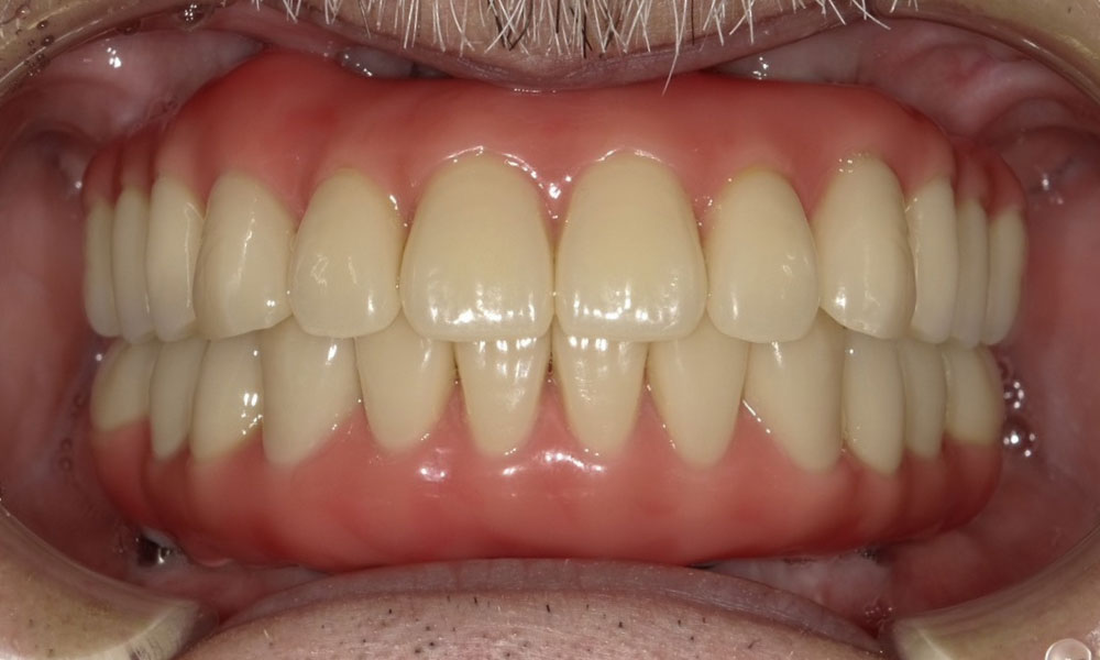
治療の経過

手術前口腔内

手術後口腔内

手術後パノラマX線写真

症例の詳細

治療名

ザイゴマインプラント治療

患者情報

70代女性

執刀医

Dr.今井

治療内容

全体的に歯がボロボロで噛むと痛みがあると訴えあり。インプラント埋入可能な歯槽骨量が少なく、残存歯も抜歯対象のため上下ザイゴマインプラント治療を選択。

治療期間

9ヶ月

費用

6,804,000円(税込)

リスク

  • 治療が受けられる歯科医院が限られている
  • 治療費が高額
  • 長時間の手術が必要になる

ご自身の歯でお悩みを抱えている方、お気軽にご相談下さい

※当院では患者様に安心して治療をお受けいただくために、感染対策を徹底しております。