
全ての患者様が安心できる
滅菌・消毒と衛生管理体制
歯科医院に通う際、多くの方が気になるのが院内の清潔さです。当院では治療器具ごとに適切な滅菌・消毒を行い、使用環境に応じた衛生管理を徹底しています。日々の清掃や管理体制にも目を配り、安心して治療を受けていただける空間づくりを大切にしています。
地域支援型多機能歯科診療所
歯科医師臨床研修 単独型臨床研修施設
歯科医師臨床研修 管理型臨床研修施設
健康経営優良法人認定
ISO9001取得
八潮市八潮駅の歯医者・歯科として
日常に提供します。
地域支援型多機能歯科診療所
歯科医師臨床研修 単独型臨床研修施設
歯科医師臨床研修 管理型臨床研修施設
健康経営優良法人認定
ISO9001取得
ライフメディカル歯科・矯正歯科クリニックWEST八潮
(旧:今井歯科WEST)
予約枠◎/マウスピース矯正/八潮駅北口徒歩1分
ライフメディカル歯科・小児歯科クリニックSOUTH八潮
(旧:今井歯科クリニック八潮)
おとな・こども歯科/託児完備/八潮駅南口徒歩1分
ライフメディカル総合歯科クリニックEAST八潮
(旧:今井歯科EAST)
総合歯科/インプラント/八潮駅前
※急患枠を設けております。お電話にてお問合せください。
※WEB予約の場合、前後の処置内容によってお待ちになる可能性がございます。
八潮市は、子育て世代からご高齢の方まで、多様な世代が暮らす地域へと発展を続けています。私たちライフメディカルグループは八潮市八潮駅の歯医者・歯科として、この街で生活する皆さまが安心して毎日を過ごせるよう、歯科医療を「治療の場」ではなく「生活を支える医療」として提供することを大切にしています。
日々の診療では、八潮市の地域特性や生活環境を踏まえ、行政や関連機関とも連携しながら、予防を軸とした歯科医療に取り組んでいます。通院が難しい方への配慮、ライフステージに応じた口腔ケアの提案、継続的なメンテナンス体制の構築など、一人ひとりの暮らしに寄り添う診療を心がけています。
地域とともに歩み、患者様の声に耳を傾けながら、これからも八潮市の生活医療の一端を担う歯科医院であり続けたいと考えています。
ライフメディカル総合歯科クリニック八潮では、「歯を治す」だけではなく、患者様のこれからの人生に寄り添う歯科医療を大切にしています。
理事長である今井 恭一郎は、歯科医療を単なる治療技術の提供とは考えていません。お口の健康は、食事・会話・笑顔・全身の健康など、日々の生活そのものにつながる大切なものだからこそ、「地域の生活医療の一端を担う存在でありたい」という想いを持ちながら診療に取り組んでいます。
これまで国内外を問わず多くの学会や研修へ参加し、インプラント治療や口腔外科、歯周治療、予防歯科、矯正歯科など幅広い分野で知識と技術の研鑽を重ねてきました。特に欧米の先進的な歯科医療にも触れながら、“患者様にとって本当に必要な医療とは何か”を常に考え続けています。
また、ライフメディカルグループでは、歯科医院だけでなく、託児施設・研修施設・歯科技工所・地域連携施設などを含め、「地域全体で健康を支える仕組みづくり」にも力を入れています。それは、歯科医療を通じて八潮市という街に貢献したいという理事長の想いから生まれた取り組みです。
診療において大切にしているのは、患者様との対話です。不安を抱えたまま治療を進めるのではなく、「なぜこの治療が必要なのか」「どのような選択肢があるのか」を丁寧に共有し、納得いただいた上で治療を進めることを重視しています。
「ここなら安心して相談できる」
「困った時に頼れる存在でありたい」 その想いを胸に、スタッフ一同が日々の診療に向き合っています。
ライフメディカル総合歯科クリニック八潮は、これからも八潮市八潮駅の歯医者・歯科として地域の皆様に信頼される歯科医院として、安心・安全で質の高い歯科医療の提供に努めてまいります。
今井 恭一郎 (博士歯学)
街づくりの視点で歯科医療を展開 鍵を握るのは「持続性」 少子高齢化と人口減少により、集患競争は年々激しさを増している。そうした中、いち早く街づくりの視点を取り入れ、埼玉県八潮市に根差した歯科医療を展開してきたのがLife […]
この度、ライフメディカル総合歯科クリニック八潮 理事長の今井が、書籍『一問三答の求人・採用』の執筆に携わりました。 本書は、「人が採れない」「定着しない」といった現代の歯科業界における課題に対し、1つの問いに対して複数の […]
LMGでは、令和8年度 歯科医師臨床研修医(管理型)の二次募集を開始いたしました。当グループは、埼玉県八潮市駅前に4院を展開しており、地域に根ざした歯科医療を行っています。 日々さまざまな症例に触れながら、基礎から実践ま […]
2月18日(水)、今井歯科クリニック八潮のラウンジにてクリアコレクトのセミナーを開催しました。 外部講師を招いての院内セミナーです。 マウスピース矯正における症例別アプローチと注意点について学 […]
2月4日(木)・5日(金)・6日(土)の3日間、私が所属している歯科医師の勉強会「MID-G」の理事・役員による合同合宿が沖縄県那覇市で開催されました。 全国から約40名の歯科医師が集まり、それぞれが日々の診療で得た知識 […]
【研修参加のご報告と、今後の診療への取り組みについて】 当院では、患者様により安心・安全で質の高い治療をご提供するため、定期的に専門研修を開催しております。 1月26日(月)、「根管治療(歯の神経の治療)」についての最新 […]
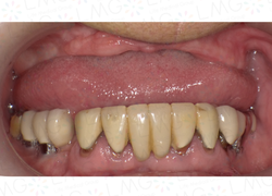
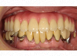
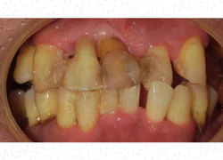
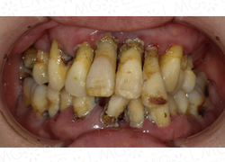
クワッドザイゴマを用いた上顎インプラント治療(全身麻酔あり) 「ザイゴマインプラント治療」を行われた患者さまのビフォーアフターをご紹介します。 ※ご紹介している症例は、あくまでも患者様固有の症例ですので、実際には患者様に […]
上顎左上シングルザイゴマ、5本インプラント埋入 「ザイゴマインプラント治療」を行われた患者さまのビフォーアフターをご紹介します。 ※ご紹介している症例は、あくまでも患者様固有の症例ですので、実際には患者様によって治療期間 […]
下顎オールオンフォー、上顎ザイゴマインプラント 「ザイゴマインプラント治療」を行われた患者さまのビフォーアフターをご紹介します。 ※ご紹介している症例は、あくまでも患者様固有の症例ですので、実際には患者様によって治療期間 […]
街づくりの視点で歯科医療を展開 鍵を握るのは「持続性」 少子高齢化と人口減少により、集患競争は年々激しさを増している。そうした中、いち早く街づくりの視点を取り入れ、埼玉県八潮市に根差した歯科医療を展開してきたのがLife […]
この度、ライフメディカル総合歯科クリニック八潮 理事長の今井が、書籍『一問三答の求人・採用』の執筆に携わりました。 本書は、「人が採れない」「定着しない」といった現代の歯科業界における課題に対し、1つの問いに対して複数の […]
LMGでは、令和8年度 歯科医師臨床研修医(管理型)の二次募集を開始いたしました。当グループは、埼玉県八潮市駅前に4院を展開しており、地域に根ざした歯科医療を行っています。 日々さまざまな症例に触れながら、基礎から実践ま […]
当院では、八潮市八潮駅の歯科医院として、地域の皆さまに安心して通っていただける環境づくりを大切にしています。近年、実際に来院されていない方による投稿や、投稿者の特定が困難な口コミが確認されるケースがあります。当院では、専門家と連携し適切な対応を行い、万一不適切な行為が確認された場合には法的措置を含め厳正に対処いたします。今後も信頼できる情報環境の維持に努めてまいります。


患者様の信頼+安心
を追求する
6つの特徴
歯科医院を選ぶ際、清潔さや安全性、そして「きちんと話を聞いてもらえるか」は大切なポイントです。当院では、八潮市八潮駅の歯医者・歯科として治療器具ごとの滅菌・消毒や日々の清掃を徹底し、安心して過ごせる診療環境づくりに努めています。換気や感染対策にも継続して取り組み、患者様のご協力のもと落ち着いた空間を保っています。治療前には丁寧な対話を行い、不安や疑問に寄り添いながら無理のない治療を心がけています。必要に応じて精密機器を活用し、現在だけでなく将来の生活まで見据えた治療計画をご提案しています。
全ての患者様が
安心できる
滅菌・消毒と
衛生管理体制
安全に患者様に
通院頂く為の
感染対策のご協力
対話を大切にし
患者様の
気持ちに寄り添う
可能な限り
痛みを
抑えた治療
精密に治療を
行う為の
精密機器の完備
幸せに過ごす為の
患者様の未来を
見た治療計画

歯科医院に通う際、多くの方が気になるのが院内の清潔さです。当院では治療器具ごとに適切な滅菌・消毒を行い、使用環境に応じた衛生管理を徹底しています。日々の清掃や管理体制にも目を配り、安心して治療を受けていただける空間づくりを大切にしています。

患者様が安心して通院できるよう、院内では換気や衛生管理を継続的に行っています。また、皆さまにもご協力をお願いしながら、感染予防に取り組んでいます。小さな積み重ねが、安全で落ち着いた診療環境につながると考えています。

「ちゃんと話を聞いてもらえるだろうか」そんな不安を抱えて来院される方も少なくありません。当院では治療前の対話を大切にし、患者様の想いや不安を丁寧に伺います。納得と安心を感じていただける診療を心がけています。

歯科治療に対する苦手意識や恐怖心は、人それぞれです。当院ではお口の状態や治療内容に応じて、負担を抑える工夫を行っています。無理に進めることはせず、安心して治療を受けていただけるよう配慮しています。

治療の質を高めるため、必要に応じて精密機器を活用し、細かな部分まで確認しながら診療を行っています。見えにくい部分も丁寧に把握することで、患者様にとって適した治療を心がけています。

今の症状だけを治すのではなく、その先の生活まで見据えることが歯科医療の役割だと考えています。当院では将来の口腔環境やライフステージを考慮し、患者様が長く健やかに過ごせる治療計画をご提案しています。
当グループでは治療や予防、アフターケアまで安心して長くお付き合いいただける歯科医院を目指します。
全てのお口のお悩みを解決するための幅広い治療や予防のレパートリーをご案内し、
「ライフメディカル総合歯科クリニック八潮しか頼れない」「ライフメディカル総合歯科クリニック八潮だから安心して任せられる」と患者様に選ばれる、信頼できる歯科医院であり続けることをお約束します。

終わりの見えない歯科治療ではなく、患者様の現状把握とそれにあった治療計画を組み立て、最も最適で最短の解決法をご案内します。
LIFE MEDICAL GROUP

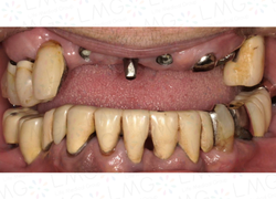
入れ歯から解放される
唯一の方法としてのインプラント治療
歯を失ってしまった方への最良の治療法として
インプラントをご案内しています。
熟練の技術と設備面から様々な手術の方法をご用意し快適な生活をバックアップします。

全ての歯を失ってしまった方が対象のオールオンフォーは短時間で固定式の仮歯が入る画期的な治療法です。

顎骨が薄い方が対象のザイゴマインプラントは頬骨にインプラントを埋めて、即日に機能することが可能な治療法です。
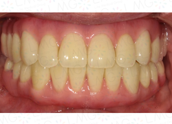
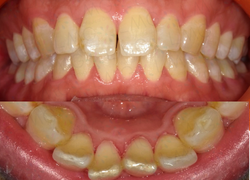
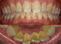
歯並びと咬み合わせの最適化で
衛生的で綺麗になれる矯正治療
歯並びの矯正=見た目の効果はもちろんですが、矯正し正しい咬み合わせにしていくことで、一部に歯に負担がかからず歯磨きなど、日々のセルフメンテナンスがしやすい衛生的な口腔内へと導いていきます。

お子さまの歯並びだけでなく、日常の姿勢や呼吸の状態にも目を向けることは、健やかな成長につながります。SHISEI BOXは、噛み合わせや口周りの使い方を意識することで、姿勢や呼吸の習慣を整えるサポートを目的とした取り組みです。遊び感覚で続けられる工夫を取り入れ、成長期のお子さまに寄り添います。

周囲に気づかれにくく、日常生活に取り入れやすいのがマウスピース矯正の特徴です。透明で取り外しができるため、食事や歯みがきも普段通り行えます。見た目への不安を抑えながら、歯並びを整えたい方に配慮した矯正方法としてご提案しています。
健康な歯を保つ
予防メインテナンス・ホワイトニング
歯の健康を守るためには、治療だけでなく日々の予防と定期的なメインテナンスが大切です。当院では、むし歯や歯周病を未然に防ぐことを目的に、お口の状態に合わせたケアをご提案しています。美しい歯を保ちながら、将来まで安心して過ごせるようサポートしています。

むし歯や歯周病は、治療後のケアがとても重要です。当院では、定期的なメインテナンスを通してお口の変化を早期に確認し、再発を防ぐことを目的とした予防ケアを行っています。一人ひとりの状態に合わせた継続的なサポートで、健やかな口腔環境を守ります。

歯の色が明るくなることで、笑顔の印象は大きく変わります。当院のホワイトニングは、日常生活に配慮しながら無理なく行える方法をご提案しています。自然な白さを目指し、笑顔に自信を持って過ごせるようサポートします。
旧医院名:今井歯科WEST

| 診療時間 | 月 | 火 | 水 | 木 | 金 | 土 | 日 | 祝 |
|---|---|---|---|---|---|---|---|---|
| 9:15–17:45 | — | — |
※最終受付時間は終了30分前
旧医院名:今井歯科クリニック八潮

| 診療時間 | 月 | 火 | 水 | 木 | 金 | 土 | 日 | 祝 |
|---|---|---|---|---|---|---|---|---|
| 9:15–17:45 | — | — |
※最終受付時間は終了30分前
旧医院名:今井歯科EAST

| 診療時間 | 月 | 火 | 水 | 木 | 金 | 土 | 日 | 祝 |
|---|---|---|---|---|---|---|---|---|
| 9:15–17:45 | — | — |
※最終受付時間は終了30分前
旧医院名:今井歯科 HANARE

| 診療時間 | 月 | 火 | 水 | 木 | 金 | 土 | 日 | 祝 |
|---|---|---|---|---|---|---|---|---|
| 9:15–17:45 | — | — |
※最終受付時間は終了30分前
急な痛みやトラブルでお困りの場合、当日の状況によっては対応できることもありますので、まずはご連絡ください。ご予約の方を優先しながらのご案内となりますが、できる限り患者様のつらい症状を早く和らげられるよう調整いたします。来院前に一度お電話いただくことで、スムーズにご案内できる場合もありますので、お気軽にご相談ください。
歯医者に対して「怖い」「痛そう」というお気持ちを持たれる方はとても多くいらっしゃいます。当院では、治療内容やお口の状態に応じて、できる限り負担を抑える方法を選択しながら進めています。いきなり治療を始めることはなく、途中でも違和感や不安があればすぐにお声がけください。患者様のペースを大切に、安心して受けていただける診療を心がけています。
ご安心ください。当院では、いきなり治療を始めることはありません。まずは現在のお口の状態や気になっている点を丁寧にお伺いし、考えられる治療方法や流れについて分かりやすくご説明します。「今日は相談だけ」「話を聞いてから決めたい」というご来院も歓迎しています。納得いただいたうえで進めることを大切にしていますので、気になることは遠慮なくお話しください。
保険診療は、国の制度に基づき治療内容や使用できる材料、費用があらかじめ定められているのが特徴です。一方、自費診療は、治療方法や素材の選択肢が広がり、見た目や耐久性、将来を見据えた治療計画を立てやすくなります。当院では、どちらかを無理におすすめすることはなく、患者様のお口の状態やご希望を伺ったうえで選択肢をご説明します。費用についても、治療前に目安をお伝えし、ご納得いただいてから進めますので、安心してご相談ください。
治療に必要な回数や期間は、症状の内容や進行状況によって大きく異なります。初回の診察でお口の状態を確認したうえで、おおよその通院回数や期間の目安をお伝えしています。無理に通院回数を増やすことはせず、患者様のご都合や生活リズムにも配慮しながら進めていきますので、不安な点があればいつでもご相談ください。
お子さまが歯医者を苦手に感じるのは、とても自然なことです。当院では、無理に治療を進めることはせず、お子さまの気持ちやペースを大切にしながら診療を行っています。まずは診療室の雰囲気に慣れるところから始めることも可能です。また、お子さま連れでのご受診にも配慮していますので、事前にご相談いただければ安心してお越しいただけます。
歯のクリーニングや定期検診の頻度は、お口の状態や生活習慣によって異なりますが、多くの方は3月に一度を目安にご案内しています。毎回同じ内容を行うのではなく、その時々の状態に合わせて必要なケアをご提案します。定期的に通っていただくことで、小さな変化にも早く気づくことができ、結果的に治療の負担を抑えることにつながります。
歯並びや噛み合わせは、見た目だけでなく、むし歯や歯周病のなりやすさ、噛む力の偏りなどにも関わることがあります。必ず治療が必要とは限りませんが、放置することで負担が蓄積する場合もあります。当院では現在の状態を確認したうえで、治療が必要かどうか、経過観察でよいかを丁寧にご説明します。まずはお気軽にご相談ください。
ホワイトニングに不安を感じる方も多いですが、当院ではお口の状態を確認したうえで、無理のない方法をご提案しています。個人差はありますが、一時的にしみる感覚が出ることもありますので、事前に丁寧にご説明します。白さの持続期間も生活習慣によって異なるため、ケア方法を含めて分かりやすくお伝えし、安心して取り組めるようサポートしています。
治療後の状態を長く保つためには、日々のセルフケアと定期的なチェックがとても大切です。当院では、患者様のお口の状態に合わせた歯みがき方法や生活習慣のポイントをお伝えしています。また、定期的なメインテナンスにより小さな変化にも早く気づくことができ、再発の予防につながります。無理なく続けられる方法を一緒に考えていきますので、ご安心ください。

coffee よつばカフェ×よつばカフェ×タニタカフェ八潮では、管理栄養士が考案した栄養バランスに配慮したメニューを提供しています。歯科グループが運営するカフェとして、「噛む」「飲み込む」「味わう」といったお口の健康を入口に、体全体の健やかさを支えることを大切にしています。
日々の食事が健康づくりにつながるよう、無理なく続けられる食の提案を行い、八潮市とも連携しながら、地域の皆さまが元気に過ごせる街づくりに貢献していきたいと考えています。

dental laboratory Digital LaboよつばDigital Laboよつばは、デジタル技術を活用した歯科技工所として、スピードと精密さを両立した技工物の製作を行っています。データをもとに設計・加工を行うことで、細かな調整が必要な技工物にも対応しやすく、治療の流れを円滑に進めることが可能です。
また、医院の近くに技工所があるため、歯科医師と技工士が直接顔を合わせて打ち合わせを行い、その場で確認・調整を重ねることができます。こうした連携体制により、患者様一人ひとりに適した技工物の提供を目指しています。

training よつば研修センターよつば研修センターは、託児施設と教育機能を併せ持つ施設です。小さなお子様を安心してお預けいただける環境を整えているため、子育て中のママも時間を気にせず、落ち着いて治療に専念していただけます。また、クリニックとは別の場所に研修施設を設け、スタッフの継続的なスキルアップと教育体制の強化に取り組んでいます。
さらに、外部から専門性の高い講師を招き、歯科医療の最新知識や考え方をスタッフ全体で共有することで、常に質の高い医療提供を目指しています。