TOP
ご予約はこちら ご予約はこちら LINE問診票 LINE問診票 アクセス・診療時間 アクセス・診療時間
予約可能日を確認
直近の空き枠
24時間予約受付
ご予約はこちら
待ち時間を少なく
LINE問診票
医院の情報はこちら
アクセス診療時間

SAMPLE

症例
トップ > 症例 > インプラント症例2(ザイゴマ)
症例

インプラント症例2(ザイゴマ)

下顎オールオンフォー、上顎ザイゴマインプラント

「ザイゴマインプラント治療」を行われた患者さまのビフォーアフターをご紹介します。
※ご紹介している症例は、あくまでも患者様固有の症例ですので、実際には患者様によって治療期間や、治療法など個人差がございます。

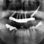
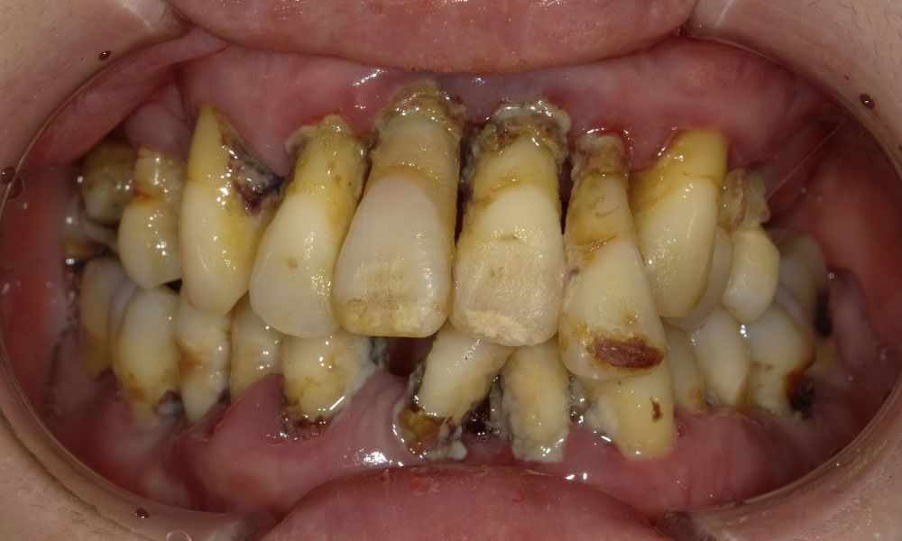
治療の経過

手術前口腔内

手術後口腔内

手術後パノラマX線写真

症例の詳細

治療名

下顎オールオンフォー、上顎ザイゴマインプラント

患者情報

50代女性

執刀医

Dr.今井

治療内容

日帰り全身麻酔により、上下顎同時に手術。

治療期間

6ヶ月

費用

7,240,000円(税込)

リスク

  • 治療が受けられる歯科医院が限られている(ザイゴマインプラントは、頬骨に入れるインプラントですので、治療の難易度が高く、行っている歯科医院がごくわずかに限られています。)
  • 治療費が高額(ザイゴマインプラントでは、通常のインプラントとは違う特殊なインプラントを必要とします。また、特殊な技術を必要とするため、治療費が通常のインプラントより高額になります。)
  • 長時間の手術が必要になる(頬骨に手術を行うため、通常の顎に行うインプラントと比較して、手術時間も長く必要になります。)

    歯科医師からの説明

    一般に静脈内鎮静法は2時間を越えると薬剤蓄積や局所麻酔薬の効果、姿勢、尿意などの問題が起きやすくなります。その点、全身麻酔は全身麻酔器などの設備や詳細な術前検査、人工呼吸用の管を鼻より通したりといった処置が必要となりますが術中のストレス、痛みは皆無となります。

ご自身の歯でお悩みを抱えている方、お気軽にご相談下さい

※当院では患者様に安心して治療をお受けいただくために、感染対策を徹底しております。