TOP
ご予約はこちら ご予約はこちら LINE問診票 LINE問診票 アクセス・診療時間 アクセス・診療時間
直近の空き枠 ご予約はこちら LINE問診票 アクセス診療時間

SAMPLE

症例
トップ > 症例 > インプラント症例3(ザイゴマ)
症例

インプラント症例3(ザイゴマ)

上顎左上シングルザイゴマ、5本インプラント埋入

「ザイゴマインプラント治療」を行われた患者さまのビフォーアフターをご紹介します。
※ご紹介している症例は、あくまでも患者様固有の症例ですので、実際には患者様によって治療期間や、治療法など個人差がございます。

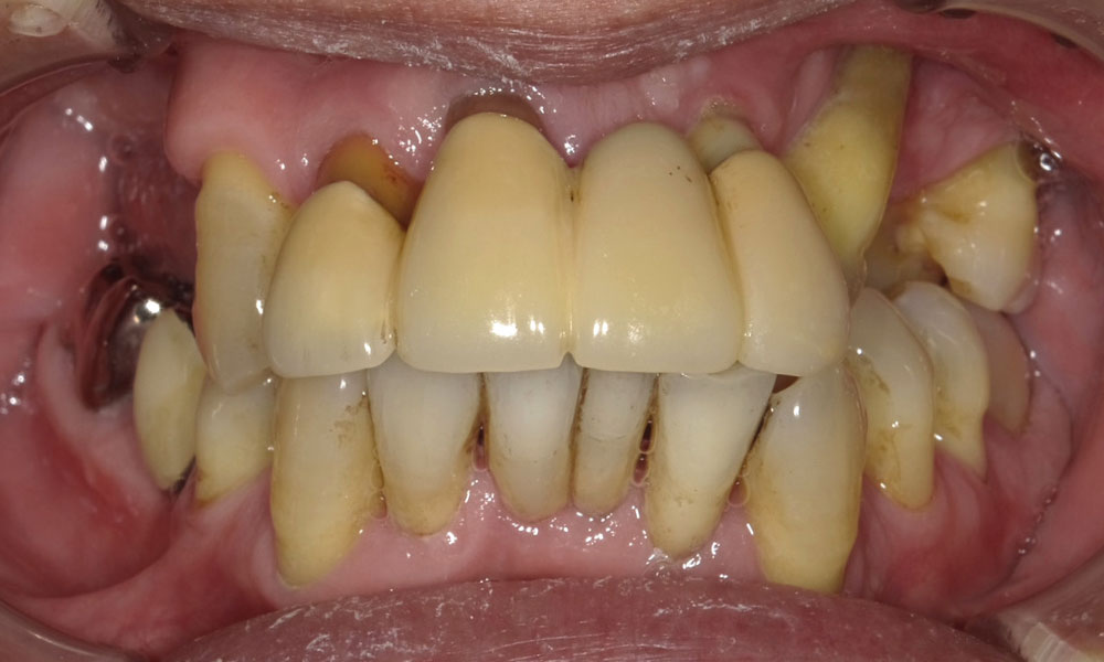
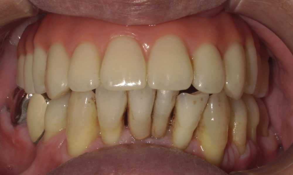
治療の経過

手術前口腔内

手術後口腔内

手術後パノラマX線写真

症例の詳細

治療名

上顎左上シングルザイゴマ、5本インプラント埋入

患者情報

50代男性

執刀医

Dr.今井

治療内容

セデーション(静脈内鎮静法の麻酔)により、骨のなかった左上ザイゴマと5本インプラント埋入

治療期間

1年

費用

3,696,000円(税込)

リスク

  • 治療が受けられる歯科医院が限られている(ザイゴマインプラントは、頬骨に入れるインプラントですので、治療の難易度が高く、行っている歯科医院がごくわずかに限られています。)
  • 治療費が高額(ザイゴマインプラントでは、通常のインプラントとは違う特殊なインプラントを必要とします。また、特殊な技術を必要とするため、治療費が通常のインプラントより高額になります。)
  • 長時間の手術が必要になる(頬骨に手術を行うため、通常の顎に行うインプラントと比較して、手術時間も長く必要になります。)

    歯科医師からの説明

    一般に静脈内鎮静法(セデーション)は2時間を越えると薬剤蓄積や局所麻酔薬の効果、姿勢、尿意などの問題が起きやすくなりますが、麻酔からの回復が早い利点があります。

ご自身の歯でお悩みを抱えている方、お気軽にご相談下さい

※当院では患者様に安心して治療をお受けいただくために、感染対策を徹底しております。