ALL POSTS
全てALL POSTS
全て
クワッドザイゴマを用いた上顎インプラント治療(全身麻酔あり) 「ザイゴマインプラント治療」を行われた患者さまのビフォーアフターをご紹介します。 ※ご紹介している症例は、あくまでも患者様固有の症例ですので、実際には患者様に […]
上顎左上シングルザイゴマ、5本インプラント埋入 「ザイゴマインプラント治療」を行われた患者さまのビフォーアフターをご紹介します。 ※ご紹介している症例は、あくまでも患者様固有の症例ですので、実際には患者様によって治療期間 […]
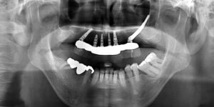
下顎オールオンフォー、上顎ザイゴマインプラント 「ザイゴマインプラント治療」を行われた患者さまのビフォーアフターをご紹介します。 ※ご紹介している症例は、あくまでも患者様固有の症例ですので、実際には患者様によって治療期間 […]
ザイゴマインプラント治療 「ザイゴマインプラント治療」を行われた患者さまのビフォーアフターをご紹介します。 ※ご紹介している症例は、あくまでも患者様固有の症例ですので、実際には患者様によって治療期間や、治療法など個人差が […]
浅草ビューホテル最上階トップバンケット「ベルヴェデール」にて2019年LMG望年会を行いました。日頃お世話になっている関係各位の皆様34名をご招待し、スタッフ41名、お子さま4名の総勢79名の盛大な会となりました。余興で […]
今井歯科クリニック八潮内の託児室にてクリスマス会を開催しました。 0~3歳児までのお子様にはみんなでクリスマスソングを歌ったり、手型足型アートで楽しくカレンダー作りを行いました。親子の手形を並べてアレンジされたりと、みな […]
12月の全体ミーティングをよつば研修センターにて行いました。 「通産省の認定する健康経営優良法人の話と、話し方&伝え方講座」と題したお話をいただきました。全スタッフで健康習慣のアンケートに回答した他、営業心理学に基づいた […]
浅草ビューホテルのレストラン薪木にて、来春入社予定のスタッフと幹部スタッフとの食事会を催しました。今年はDH2名とDA3名、計5名の新人スタッフが参加してくれました。緊張しながらもやる気に満ちた様子で、院長先生の医療に対 […]